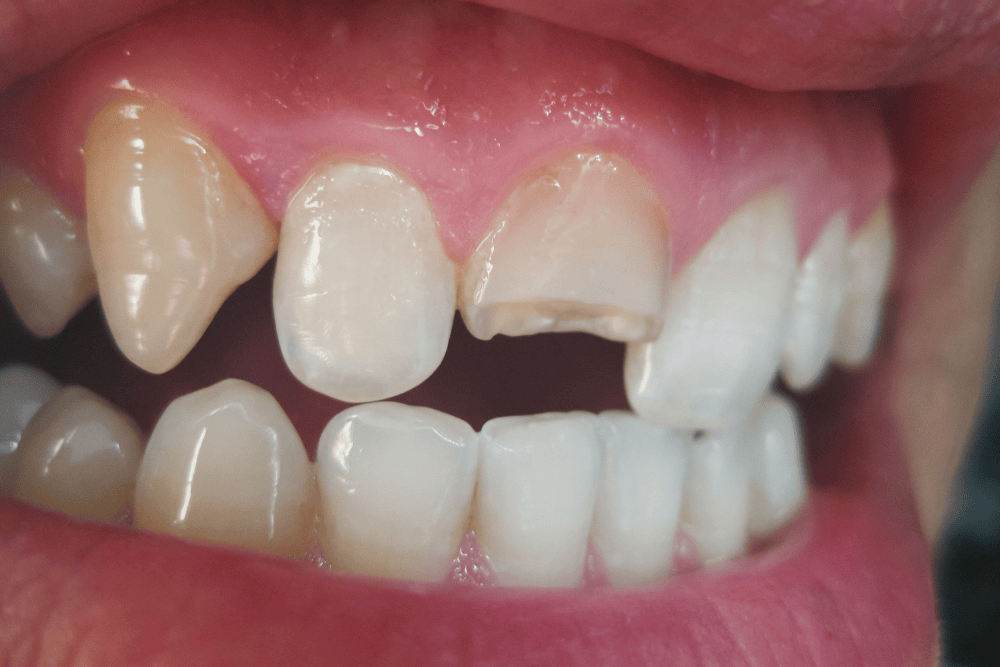
ฟันแตกเป็นปัญหาที่พบได้บ่อยและควรรีบรักษา เพราะหากปล่อยทิ้งไว้ อาจนำไปสู่การติดเชื้อ เจ็บปวด ฟันผุ หรือสูญเสียฟันในที่สุด การรักษาที่ถูกต้องและทันเวลาจะช่วยคงสุขภาพช่องปากและป้องกันปัญหาลุกลาม
Table of Contents
Toggleทำไมฟันแตกจึงต้องรีบรักษา?
ฟันแตกเป็นปัญหาที่พบได้บ่อยจากหลายสาเหตุ เช่น อุบัติเหตุ การกัดของแข็ง ฟันผุ หรือการสึกกร่อนตามอายุ หากปล่อยฟันแตกไว้โดยไม่รักษา อาจเสี่ยงต่อการติดเชื้อ เจ็บปวด ฟันผุ หรือสูญเสียฟันในที่สุด การรักษาที่ถูกต้องและทันเวลา จะช่วยคงสุขภาพช่องปากและป้องกันปัญหาลุกลาม
วิธีแก้ไขฟันแตก มีอะไรบ้าง?
การรักษาฟันแตกขึ้นอยู่กับความรุนแรงและตำแหน่งของรอยแตก โดยทันตแพทย์จะประเมินและเลือกวิธีที่เหมาะสมที่สุด ดังนี้
1. การอุดฟัน (Dental Filling)
- เหมาะสำหรับฟันแตกเล็กน้อยหรือมีรูขนาดเล็ก
- ใช้วัสดุอุดฟัน เช่น คอมโพสิตเรซิน หรืออมัลกัม เพื่อปิดรอยแตกและคืนรูปทรงฟัน
- เป็นวิธีที่ไม่ซับซ้อนและใช้เวลาน้อย
2. การบอนดิ้ง (Dental Bonding)
- ใช้เรซินสีเหมือนฟันปิดรอยบิ่นหรือรอยแตกเล็ก ๆ
- เหมาะกับฟันหน้าหรือบริเวณที่มองเห็นได้ชัด
- ช่วยคืนความสวยงามและใช้งานได้ตามปกติ
3. การครอบฟัน (Dental Crown)
- เหมาะสำหรับฟันที่แตกมากหรือสูญเสียโครงสร้างฟัน
- ทันตแพทย์จะครอบฟันด้วยวัสดุ เช่น เซรามิก พอร์ซเลน หรือโลหะ เพื่อปกป้องและเสริมความแข็งแรงให้ฟัน
4. การทำวีเนียร์ (Dental Veneer)
- เหมาะสำหรับฟันหน้าที่มีรอยแตกหรือบิ่นเล็กน้อย
- วีเนียร์เป็นแผ่นบาง ๆ ที่ติดบนผิวหน้าฟัน ช่วยปรับรูปร่างและสีฟันให้ดูสวยงาม
5. การรักษารากฟัน (Root Canal Treatment)
- สำหรับฟันแตกที่ลึกถึงโพรงประสาทหรือมีอาการติดเชื้อ
- ทันตแพทย์จะกำจัดเนื้อเยื่อที่ติดเชื้อ อุดคลองรากฟัน และอาจครอบฟันเพื่อเสริมความแข็งแรง
6. การถอนฟันและใส่รากฟันเทียม (Dental Implant)
- ในกรณีที่ฟันแตกเสียหายรุนแรงจนไม่สามารถซ่อมแซมได้
- ทันตแพทย์จะถอนฟันและใส่รากฟันเทียมหรือฟันปลอมเพื่อคืนการใช้งานและความสวยงาม
ดูแลตัวเองหลังฟันแตก
- หลีกเลี่ยงการกัดของแข็งหรืออาหารเหนียว
- รักษาความสะอาดช่องปากอย่างสม่ำเสมอ
- พบทันตแพทย์เพื่อตรวจเช็กและติดตามผลการรักษา

วิธีป้องกันฟันแตก
- หลีกเลี่ยงการใช้ฟันกัดของแข็ง เช่น น้ำแข็ง กระดูก หรือเมล็ดผลไม้
- ใส่อุปกรณ์ป้องกัน (Mouthguard) ขณะเล่นกีฬา
- ดูแลสุขภาพช่องปากและพบทันตแพทย์เป็นประจำ
ฟันแตกสามารถรักษาได้หลายวิธี ขึ้นอยู่กับความรุนแรงและตำแหน่งของรอยแตก ควรรีบพบทันตแพทย์เพื่อรับการประเมินและเลือกวิธีที่เหมาะสมที่สุด เพื่อป้องกันปัญหาสุขภาพในช่องปากระยะยาว
หากคุณมีปัญหาฟันแตก หรือต้องการคำปรึกษาเกี่ยวกับวิธีแก้ไขเพิ่มเติม สามารถติดต่อเราได้ที่ About Tooth Dental เรามีทีมทันตแพทย์ผู้เชี่ยวชาญพร้อมให้บริการทุกขั้นตอน ตั้งแต่การตรวจวินิจฉัยไปจนถึงการรักษาอย่างครบวงจร ไม่ว่าจะเป็นการอุดฟัน ครอบฟัน วีเนียร์ หรือการรักษารากฟัน อย่าปล่อยให้ปัญหาฟันแตกเป็นอุปสรรคต่อสุขภาพช่องปากและรอยยิ้มของคุณอีกต่อไป เข้ามาปรึกษาเพื่อรับการประเมินและแผนการรักษาที่เหมาะสม คืนความแข็งแรงและความมั่นใจให้กับฟันของคุณ นัดหมายวันนี้เพื่อรับคำแนะนำเฉพาะบุคคล!
หากสนใจสามารถนัดเข้ามาปรึกษาปัญหากับทันตแพทย์ เพื่อหาแนวทางการรักษาได้ที่ เบอร์โทรศัพท์ 080-481-5555 และ LINE : @abouttooth (มี @ ด้วย) หรือช่องทางติดต่ออื่น ๆ ของคลินิก About Tooth Dental
อ่านข้อมูลเพิ่มเติมเกี่ยวกับ ฟันแตก
แหล่งอ้างอิง
- Repairing a Chipped or Broken Tooth. สืบค้นเมื่อวันที่ 12 มิถุนายน 2568 จาก https://www.webmd.com/oral-health/repairing-a-chipped-or-broken-tooth
- Chipped, broken or cracked tooth. สืบค้นเมื่อวันที่ 12 มิถุนายน 2568 จาก https://www.nhs.uk/conditions/chipped-broken-or-cracked-tooth/
- Cracked Tooth Diagnosis and Treatment. สืบค้นเมื่อวันที่ 12 มิถุนายน 2568 จาก https://www.cigna.com/knowledge-center/cracked-tooth

